Comparing the tumour vascularity of neuroendocrine tumor metastases to the liver on digital subtraction angiogram between patients who have undergone peptide receptor radionuclide treatment in the past and those who have not: a retrospective observational study
Highlight box
Key findings
• The study found that the tumor vascularity of hepatic neuroendocrine tumor (NET) metastases was significantly lower in patients who had received peptide receptor radionuclide therapy (PRRT) compared to those who had not (P=0.002).
• We found that lesions with a high Ki-67 index had a significantly higher angiographic vascular degree (P=0.04).
What is known and what is new?
• NETs often metastasize to the liver, and PRRT is an established treatment for metastatic NETs. The impact of PRRT on tumor vascularity, however, was not well understood.
• This study provides new insights into the effect of PRRT on the vascularity of NET liver metastases, showing a significant reduction in tumor vascularity in patients who received PRRT. This is the first study to investigate this specific aspect using an angiography-based grading system.
What is the implication, and what should change now?
• The findings suggest that PRRT may reduce tumor vascularity, which could influence the planning and effectiveness of subsequent treatments such as selective internal radiation therapy (SIRT). Understanding the vascular changes post-PRRT can help in optimizing treatment sequences and improving patient outcomes.
• Future research should focus on comprehensive studies that include other clinical endpoints such as overall survival (OS) and progression-free survival (PFS). Additionally, incorporating advanced imaging techniques like contrast-enhanced computed tomography (CT) or magnetic resonance imaging (MRI) could provide more detailed insights into tumor vascularity changes over time.
Introduction
Neuroendocrine tumors (NETs) are a rare group of tumors characterized by neuroendocrine differentiation, somatostatin receptor expression, and hormone secretion. NETs commonly arise from gastroenteropancreatic system cells (1). NETs occur at a rate of approximately 3–5 cases per 100,000 individuals annually, with a prevalence of 35 cases per 100,000 (2). These tumors typically grow slowly and often manifest as metastases. Liver metastases are the most common of these, and timely detection is critical for ensuring effective treatment (2). In addition to surgical treatment, systemic and local treatments can be used in certain cases. The most well-known systemic treatments are somatostatin analogs, anticancer therapies, and targeted cytotoxic biological agents. Local treatments, including selective internal radiation therapy (SIRT), include transarterial chemoembolization, radiofrequency ablation, and microwave ablation (3). SIRT is a local transarterial radionuclide therapy modality performed using β-emitting microspheres. NETs are one of the effective groups in terms of the treatment response of SIRT in the treatment of liver metastases (4). Peptide receptor radionuclide therapy (PRRT) has been an important treatment option for metastatic NETs for the past two decades. This systemic radionuclide therapy involves the use of octreotide labeled with Lutetium-177 (177Lu) or Yttrium-90 (90Y) to directly target and deliver radiation to tumor cells (5-7). PRRT has been shown to be effective as both first- and second-line therapy for patients with progressive metastatic NETs (8,9).
In this study, we evaluated the difference in lesion vascularity between patients with NET liver metastases who underwent PRRT and those who did not, after intra-arterial technetium-99m (99mTc) macroaggregated albumin (MAA) application during diagnostic angiography before SIRT. We present this article in accordance with the STROBE reporting checklist (available at https://tro.amegroups.com/article/view/10.21037/tro-24-25/rc).
Methods
Study design
This retrospective observational study was conducted at the Istanbul University-Cerrahpasa Medical Faculty, Department of Radiology and Department of Nuclear Medicine, between March 2010 and December 2021. A total of 36 patients with NET liver metastases, all of whom received 90Y microsphere treatment, were included in the study. NET diagnosis was confirmed radiologically and histologically in all patients.
Ethical consideration
The study was conducted in accordance with the Declaration of Helsinki and its subsequent amendments. This single-center retrospective study was approved by the Istanbul University-Cerrahpasa Clinical Research Ethics Committee (E-83045809-654.01.01-590588) and individual consent for this retrospective analysis was waived.
Patient enrollment
The study included patients with histopathologically confirmed metastatic NET in the liver who did not respond to second-line chemotherapy or were refractory to treatment. Patients were excluded based on the following criteria: inadequate liver reserve (bilirubin >3 mg/dL, albumin <3 g/dL), prothrombin time (PTZ) above the normal range, Karnofsky performance score <60%, Eastern Cooperative Oncology Group (ECOG) score greater than 2, presence of a hepatopulmonary shunt (hepatopulmonary shunt >30 Gy), or unsuitable kidney function for angiography. A total of 51 patients were initially selected for the preliminary study. After applying the exclusion criteria, 36 patients were deemed suitable for SIRT by the institutional radionuclide therapy board. For patients who received multiple SIRTs sessions, the first treatment was considered. Of these, 22 patients had previously received PRRT because of sufficient somatostatin receptor (SSR) expression. The remaining 14 patients did not undergo PRRT owing to insufficient receptor expression.
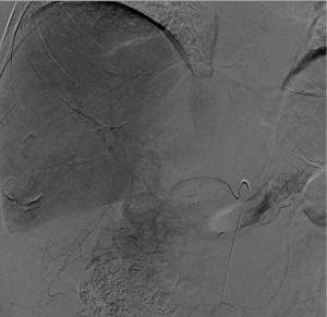
Diagnostic angiography with intra-arterial [99mTc] Tc-MAA administration
Patients fasted for at least 8 h before the procedure. They were informed of the procedure, and both verbal and written consent were obtained. Diagnostic angiography was performed under aseptic conditions by an interventional radiologist with 12 years of experience using an angiography machine equipped with 3D angiography capabilities (Allura Xper FD20; Philips Healthcare, Best, Netherlands). Using the Seldinger technique, a 5 French introducer sheath was inserted into the common femoral artery. Following this, a 4F USL angiography catheter, guided by a 0.035’ hydrophilic guidewire, was advanced to the T12 vertebra level. The celiac artery and SMA imaging were performed using a dynamic pump injector with non-ionic iodinated contrast media at a concentration of 300 mg/100 ml, a rate of 10 cc/s, and a total volume of 25 cc. Throughout this process, the anatomy and variations in the vascular structures were assessed. The main hepatic artery was catheterized to obtain the hepatic arteriogram. Subsequently, the right and left hepatic arteries were catheterized separately using a 2.7-inch microcatheter guided by a 0.0018’ microguidewire, and the images were captured. Tumor vascularity and feeding arteries were evaluated to determine the optimal area for [99mTc] Tc-MAA infusion. Arterial branches that could cause reflux or leakage were embolized using coils. A control angiogram was obtained before [99mTc] Tc-MAA injection to verify the position of the microcatheter. Finally, 2–6 mCi of [99mTc] Tc-MAA was injected as a bolus, followed by flushing of the microcatheter with 5 mL saline. Within 1-hour post-procedure, whole-body planar scintigraphic imaging and single photon emission computed tomography/computed tomography (SPECT/CT) (Symbia T16, Siemens Medical Solutions, Hoffman Estates, Illinois, USA) imaging of the abdomen and thorax were acquired. Hepatopulmonary shunt ratio was assessed using planar and SPECT/CT images. Absorbed doses of tumor and normal liver tissues were calculated using Simplicit90yTM (Mirada Medical) software and the ratio of the tumor to non-tumor liver parenchyma (T/NL) was calculated accordingly. Extrahepatic shunting was assessed using planar and SPECT/CT imaging.
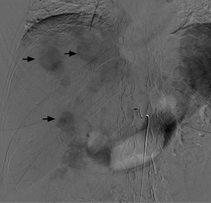
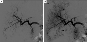
Angiographic lesion vascular grade assessment
Visual vascular grading of the lesions was performed using images obtained during diagnostic angiography. For each patient, two board-certified interventional radiologists blinded to the treatment regimen reviewed the digital subtraction angiograms. Angiographic tumor vascularity was categorized into 4 grades for each patient. We conducted our visual rating inspired by rating systems used in a study focusing on recurrent glioblastoma multiforme and anaplastic astrocytomas (10), another study utilizing digital subtraction angiography (DSA) for visual rating in gliomas (11), and research on the vascularization of liver metastases (12). The angiographic tumor vascularity of each patient was classified as follows: grade 1, avascular tumors; grade 2, mild tumor flushing; grade 3, tumor flushing with an arterial network; and grade 4, abnormal vascularization and arteriovenous shunting (Figures 1-4). Compared with the reference study (12), the lesions of patients with grade 1 and 2 tumors in our study showed similar or less contrast enhancement than the normal parenchyma, aligning with the hypovascular class in the reference. In contrast, the lesions of patients with grade 3 and 4 tumors, which exhibited a higher contrast than the surrounding hepatic parenchyma, corresponded to the hypervascular class in the reference study.
Statistical analysis
Statistical analyses were performed using IBM SPSS Statistics (version 22.0, IBM, Armonk, NY, USA). The Shapiro-Wilk test was performed to evaluate the normal distribution because the number of patients was less than 50. It was shown that the patient distribution was not normal (P<0.001). Therefore, non-parametric tests were used for statistical analysis. We used the Spearman rank correlation test to assess interobserver agreement. The Mann-Whitney U test was used to test for statistical significance between independent continuous variables. The Kruskal-Wallis test was used to test the statistical significance of more than two independent variables. Spearman’s correlation coefficient (r) was used to determine the correlation between continuous data. Descriptive statistics are presented as mean, standard deviation, percentage and median with range. The limit of significance was accepted as 0.05 in all tests.
Results
We evaluated 36 patients with NETs and liver metastases. Twenty-two of them had received PRRT and 14 had not received PRRT before (Figure 5). Thirty-six patients with NET liver metastasis [12 (33.3%) females and 24 (66.7%) males] were included. The mean age was 57.86±11.63 years. Among these patients, 9 (25%) had unknown primary NET, 11 (30.6%) had pancreatic NET, 5 (13.9%) had lung carcinoid NET, 6 (16.7%) had gastric NET, 2 (5.6%) had small intestine NET, 1 (2.8%) had thymic atypical carcinoid NET, 1 (2.8%) had colorectal NET, and 1 (2.8%) had a kidney NET. Twenty-one patients (58.3%) had a hepatic tumor burden of >50%, whereas 15 (41.7%) had a tumor burden of <50%. Twenty-one patients (58.3%) showed no extrahepatic metastasis, whereas 15 (41.7%) had extrahepatic metastasis. However, while no extrahepatic metastases were detected in 11 (30.6%) patients with a hepatic tumor burden of >50%, 10 (27.8%) had extrahepatic metastases. Extrahepatic metastasis was not observed in 11 (30.6%) patients with a hepatic tumor burden below 50%, and extrahepatic metastasis was detected in the other 4 (11%) patients (Table 1).
Table 1
| Variables | Values |
|---|---|
| Age (years) | 57.86±11.63 |
| Male | 57.13±11.33 |
| Female | 59.33±12.6 |
| Sex | |
| Male | 24 (66.7) |
| Female | 12 (33.3) |
| Tumor types | |
| Pancreatic NET | 11 (30.6) |
| Gastrointestinal NET | 9 (25) |
| Unknown primary | 9 (25) |
| Lung carcinoid tumor | 5 (13.9) |
| Renal NET | 1 (2.8) |
| Thymus NET | 1 (2.8) |
| Ki-67 index (cutoff: 20%) | |
| >20% | 11 (30.6) |
| ≤20% | 25 (69.4) |
| Extrahepatic metastasis | 14 (38.9) |
| Hepatic tumor burden (cutoff: 50%) | |
| >50% | 15 (41.7) |
| ≤50% | 21 (58.3) |
Data are presented as mean ± standard deviation or n (%). NET, neuroendocrine tumor.
Among patients who did not receive PRRT, 2.8% had no prior treatment, 16.7% underwent primary tumor resection, 5.6% underwent liver resection, and 22.2% received chemotherapy and/or radiotherapy. In contrast, among patients who received PRRT, 44.4% were treated with somatostatin analogs, and 36.1% underwent chemotherapy and/or radiotherapy (Table 2). Vascular grading performed by two independent radiologists with 12 years (observer 1) and 7 years (observer 2) of experience resulted in a median angiographic vascular grade of 2.25 (range: 1–4) by observer 1 and 2.5 (range: 1–4) by observer 2. Observer 1 classified 7 patients (19.4%) as grade 1, 16 patients (44.4%) as grade 2, 10 patients (27.8%) as grade 3 and 3 patients (8.3%) as grade 4. Observer 2 also classified six patients (16.7%) as grade 1, 17 patients (47.2%) as grade 2, 12 patients (33.3%) as grade 3 and one patient (2.8%) as grade 4. Significant inter-observer agreement was found between the two observers (Spearman rank-order correlation coefficient: 0.971, P<0.001). Both observers classified 23 patients (63.9%) as highly hypovascular and 13 patients (36.1%) as hypervascular with full agreement. There was no significant difference in the visual angiographic vascular degree (P=0.52) and T/NL ratio between patients according to the tumor type (P=0.44) (Table 3).
Table 2
| Treatment history | Patients without PRRT, n (%) | Patients with PRRT, n (%) |
|---|---|---|
| None | 1 (2.8) | 2 (5.6) |
| Primary mass resection | 6 (16.7) | 7 (19.4) |
| Liver resection | 2 (5.6) | 2 (5.6) |
| Somatostatin analogs | 3 (8.3) | 16 (44.4) |
| Anticancer therapy (CT/RT) | 8 (22.2) | 13 (36.1) |
| TACE/RF and other local ablative therapies | 1 (2.8) | 1 (2.8) |
CT, computed tomography; PRRT, peptide receptor radionuclide therapy; RF, radiofrequency; RT, radiotherapy; TACE, transarterial chemoembolisation.
Table 3
| Tumor types | Vascular grade | T/NL ratio |
|---|---|---|
| Total | 2 [1–4] | 3.05 [1.52–9.32] |
| Pancreatic NET | 2 [1–4] | 2.52 [1.95–4.56] |
| Unknown primary NET | 2 [1–3] | 3.33 [1.78–4.72] |
| Stomach NET | 2.5 [2–4] | 2.41 [1.52–9.32] |
| Lung carcinoid NET | 2 [1–3] | 2.89 [1.67–3.73] |
| Small İntestine NET | 1.5 [1–2] | 3.91 [3.78–4.04] |
| Colorectal NET | 1 [1–1] | 5.03 [5.03–5.03] |
| Renal NET | 3 [3–3] | 2.28 [2.28–2.28] |
| Thymic NET | 2 [1–3] | 4.47 [4.47–4.47] |
| P value | 0.52† | 0.44† |
Data are presented as median [range]. †, Kruskal-Wallis test. NET, neuroendocrine tumor; T/NL, tumor to normal liver parenchyma.
Twenty-two patients (61.1%) were treated with PRRT, while 14 (38.9%) were not. The mean cumulative [177Lu] Lu-DOTATATE activity in patients receiving PRRT was 38.36 GBq/µmol (range: 7.77–66.56 GBq/µmol). The median time between [99mTc] Tc-MAA infusion and [177Lu] Lu-DOTATATE administration was 5 months (range: 1–40 months). The median T/NL ratio for all patients was 3.05 (range: 1.52–9.32).
The angiographic vascular grading of the group that received PRRT was significantly lower than that of the group that did not (P=0.02) (Table 4). There was no statistically significant difference between the T/NL ratio in the patient group with prior PRRT and the patient group without PRRT (P=0.60) (Table 4). Lesions with a high Ki-67 index had a significantly higher angiographic vascular degree (P=0.04). In patients who received PPRT, a significant relationship was observed between the time from the last cycle to the [99mTc] Tc-MAA infusion and lesion hypervascularity (P=0.04).
Table 4
| Tumor vascularity | Patients did not receive PRRT | Patients receive PRRT | P value |
|---|---|---|---|
| Vascular grade | 0.02† | ||
| Grade 1 | 0 | 7 | |
| Grade 2 | 5 | 11 | |
| Grade 3 | 7 | 3 | |
| Grade 4 | 2 | 1 | |
| T/NL ratios | 3.11 (1.67–9.32) | 3.05 (0.27–5.03) | 0.60‡ |
Data are presented as median (range) or n. †, Pearson’s Chi-squared test; ‡, Mann-Whitney U test. NET, neuroendocrine tumor; PRRT, peptide receptor radionuclide therapy; T/NL, tumor to normal liver parenchyma.
Discussion
This study examined the effect of prior PRRT on the vascularity of NETs liver metastases using DSA. Our results showed lower vascularity in patients who received PRRT before SIRT. No significant differences were observed in the T/NL ratios between the groups. Additionally, a higher Ki-67 index is associated with increased vascularity. These findings highlight the potential influence of PRRT on tumor vascularity, which may inform the treatment sequencing of metastatic NETs.
In patients with well-differentiated metastatic NETs positive for somatostatin receptors who have progressed after first-line somatostatin analog therapy, the effect of the treatment sequence on efficacy has not yet been clearly demonstrated (13). It remains unclear whether the treatment efficacy varies according to the order of PRRT and liver-directed therapies. However, radioembolization is contraindicated due to the additional radiation dose to the liver. Further research is needed to determine the role of the liver disease burden and lesion vascularity in determining the radioembolization plan and reducing the risk of radiation-induced liver disease. Understanding these factors will improve treatment planning and provide the best treatment approach for metastatic NETs.
These lingering questions underscore the complexity of treatment decisions for this patient population and emphasize the need for additional research and data to guide clinicians in establishing effective and well-sequenced therapeutic approaches.
The final sub-analysis of the NETTER-1 study revealed that metastatic midgut NET patients with large tumor lesions (>3 cm in diameter) experience significantly shorter progression-free survival than those with smaller lesions (14). The response to PRRT might be less favorable in cases with larger lesions, possibly because of the limited tissue penetration of 177Lu, which is only 2–4 mm. To achieve better results, 90Y or Holmium-166 (166Ho) microsphere radioembolization could be beneficial for addressing larger liver metastases (15,16). The outcomes of 90Y microsphere radioembolization therapy following PRRT were examined in two retrospective studies. Both studies indicate that the administration of PRRT prior to 90Y microsphere treatment amplifies the radiation impact on the liver parenchyma in patients with advanced intrahepatic disease (9,15).
To the best of our knowledge, this is the first study to investigate vascularization of liver lesions in NET patients with liver metastasis after PRRT. The low absorbed dose in healthy liver tissue is attributed to the hyper-vascular structure of neuroendocrine neoplasms (15). Before SIRT, patients without prior PRRT exhibited significantly higher tumor vascularity than those who underwent PRRT before SIRT. It is still unclear how a decrease in lesion vascularity affects patient prognosis. However, the decrease in lesion vascularity as a result of PRRT treatment may explain the underlying condition for the increase in parenchymal radiation damage resulting from SIRT in patients with progressive liver disease after PRRT treatment, as shown in previous studies.
The primary limitation of this study is its non-randomized and retrospective nature. It has been performed on a limited and diverse patient population with varying tumor types, Ki-67 indices, and heterogeneous treatment histories. Furthermore, inter-patient comparisons were limited by study power; the ideal method to evaluate the net effect of PRRT on lesion vascularity would have been to assess before and after PRRT, which was not the case in this study. Furthermore, the assessment of NET tumors in DSA images is based on a subjective visual grading system. The lack of survival data in our patient population is another important factor that limited our ability to assess the effect of vascular grading on treatment. Ideally, contrast-enhanced CT or magnetic resonance imaging (MRI) should be used to comment on any change in tumor vascularity from baseline imaging.
Conclusions
Patients who underwent PRRT prior to SIRT due to NET liver metastases showed generally lower tumor vascularity than patients who did not receive PRRT. Further research is needed to investigate the tumor vascularity before and after PRRT for NET liver metastases.
Acknowledgments
None.
Footnote
Reporting Checklist: The authors have completed the STROBE reporting checklist. Available at https://tro.amegroups.com/article/view/10.21037/tro-24-25/rc
Data Sharing Statement: Available at https://tro.amegroups.com/article/view/10.21037/tro-24-25/dss
Peer Review File: Available at https://tro.amegroups.com/article/view/10.21037/tro-24-25/prf
Funding: None.
Conflicts of Interest: All authors have completed the ICMJE uniform disclosure form (available at https://tro.amegroups.com/article/view/10.21037/tro-24-25/coif). The authors have no conflicts of interest to declare.
Ethical Statement: The authors are accountable for all aspects of the work in ensuring that questions related to the accuracy or integrity of any part of the work are appropriately investigated and resolved. The study was conducted in accordance with the Declaration of Helsinki and its subsequent amendments. This single-center retrospective study was approved by the Istanbul University-Cerrahpaşa Clinical Research Ethics Committee (E-83045809-654.01.01-590588) and individual consent for this retrospective analysis was waived.
Open Access Statement: This is an Open Access article distributed in accordance with the Creative Commons Attribution-NonCommercial-NoDerivs 4.0 International License (CC BY-NC-ND 4.0), which permits the non-commercial replication and distribution of the article with the strict proviso that no changes or edits are made and the original work is properly cited (including links to both the formal publication through the relevant DOI and the license). See: https://creativecommons.org/licenses/by-nc-nd/4.0/.
References
- Lee ST, Kulkarni HR, Singh A, et al. Theranostics of Neuroendocrine Tumors. Visc Med 2017;33:358-66. [Crossref] [PubMed]
- Basuroy R, Srirajaskanthan R, Ramage JK. A multimodal approach to the management of neuroendocrine tumour liver metastases. Int J Hepatol 2012;2012:819193. [Crossref] [PubMed]
- Fan KY, Wild AT, Halappa VG, et al. Neuroendocrine tumor liver metastases treated with yttrium-90 radioembolization. Contemp Clin Trials 2016;50:143-9. [Crossref] [PubMed]
- Turkmen C, Ucar A, Poyanli A, et al. Initial outcome after selective intraarterial radionuclide therapy with yttrium-90 microspheres as salvage therapy for unresectable metastatic liver disease. Cancer Biother Radiopharm 2013;28:534-40. [Crossref] [PubMed]
- Strosberg J, El-Haddad G, Wolin E, et al. Phase 3 Trial of (177)Lu-Dotatate for Midgut Neuroendocrine Tumors. N Engl J Med 2017;376:125-35. [Crossref] [PubMed]
- Garske-Román U, Sandström M, Fröss Baron K, et al. Prospective observational study of (177)Lu-DOTA-octreotate therapy in 200 patients with advanced metastasized neuroendocrine tumours (NETs): feasibility and impact of a dosimetry-guided study protocol on outcome and toxicity. Eur J Nucl Med Mol Imaging 2018;45:970-88. [Crossref] [PubMed]
- Goffredo V, Paradiso A, Ranieri G, et al. Yttrium-90 (90Y) in the principal radionuclide therapies: an efficacy correlation between peptide receptor radionuclide therapy, radioimmunotherapy and transarterial radioembolization therapy. Ten years of experience (1999-2009). Crit Rev Oncol Hematol 2011;80:393-410. [Crossref] [PubMed]
- Filippi L, Ciorra A, Sardella B, et al. Sequential Use of (90)Y Microspheres Radioembolization and (177)Lu-Dotatate in Pluri-Metastatic Neuroendocrine Tumors: A Case Report. Nucl Med Mol Imaging 2014;48:321-5. [Crossref] [PubMed]
- Ezziddin S, Meyer C, Kahancova S, et al. 90Y Radioembolization after radiation exposure from peptide receptor radionuclide therapy. J Nucl Med 2012;53:1663-9. [Crossref] [PubMed]
- Chow KL, Gobin YP, Cloughesy T, et al. Prognostic factors in recurrent glioblastoma multiforme and anaplastic astrocytoma treated with selective intra-arterial chemotherapy. AJNR Am J Neuroradiol 2000;21:471-8.
- Russell SM, Elliott R, Forshaw D, et al. Glioma vascularity correlates with reduced patient survival and increased malignancy. Surg Neurol 2009;72:242-6; discussion 246-7. [Crossref] [PubMed]
- Sato KT, Omary RA, Takehana C, et al. The role of tumor vascularity in predicting survival after yttrium-90 radioembolization for liver metastases. J Vasc Interv Radiol 2009;20:1564-9. [Crossref] [PubMed]
- Fidelman N. Holmium-166 radioembolisation after peptide receptor radionuclide therapy: much needed data to help inform future research. Lancet Oncol 2020;21:478-9. [Crossref] [PubMed]
- Strosberg JR, Caplin ME, Kunz PL, et al. 177Lu-Dotatate plus long-acting octreotide versus high‑dose long-acting octreotide in patients with midgut neuroendocrine tumours (NETTER-1): final overall survival and long-term safety results from an open-label, randomised, controlled, phase 3 trial. Lancet Oncol 2021;22:1752-63. Erratum in: Lancet Oncol 2022;23:e59. [Crossref] [PubMed]
- Braat AJAT, Kappadath SC, Ahmadzadehfar H, et al. Radioembolization with (90)Y Resin Microspheres of Neuroendocrine Liver Metastases: International Multicenter Study on Efficacy and Toxicity. Cardiovasc Intervent Radiol 2019;42:413-25. [Crossref] [PubMed]
- Devcic Z, Rosenberg J, Braat AJ, et al. The efficacy of hepatic 90Y resin radioembolization for metastatic neuroendocrine tumors: a meta-analysis. J Nucl Med 2014;55:1404-10. [Crossref] [PubMed]
Cite this article as: Ertek E, Sarıahmetoğlu ÖF, Hamid R, Aghazada F, Samancı C, Uslu Beşli L, Baş A. Comparing the tumour vascularity of neuroendocrine tumor metastases to the liver on digital subtraction angiogram between patients who have undergone peptide receptor radionuclide treatment in the past and those who have not: a retrospective observational study. Ther Radiol Oncol 2025;9:8.


